LVEM 25 создает изображения ваших образцов, приготовленных обычным способом, с непревзойденным контрастом. В одном компактном приборе доступны три мощных режима визуализации.
Высокая контрастность и высокое разрешение
- Непревзойденный контраст образцов биологических и легких материалов
- Разрешение изображения до 1,0 нм
- Значимые результаты без необходимости окрашивания тяжелыми металлами
- Позволяет работать в режимах визуализации ПЭМ, ПРЭМ и ЭД.
Компактный и прочный дизайн
- Более компактный, чем другие ПЭМ микроскопы.
- Уникально спроектированная компактная конструкция
- Готов к установке в практически любых лабораторных условиях
- Нет никаких специальных требований к помещению (таких как охлаждение, специальный уровень электрической мощности или антивибрационная изоляция).
Несложное и быстрое получение результатов
- Обучиться использованию прибора и в дальнейшем работать с ним - просто.
- Простое программное обеспечение и интуитивно-понятные органы управления
- Возможность быстрой замены образцов позволяет получать больше изображений за тот же промежуток времени
- Разработан для образцов, приготовленных традиционным способом
Переключение между режимами визуализации легко выполняется с помощью программного обеспечения, что обеспечивает быстрый сбор изображений одной и той же интересующей области в режимах ПЭМ, ПРЭМ и ЭД.
|
Режим ПЭМ
|

Тонкий срез почки, 500 нм
|
Режим ПЭМ 25 кВ является стандартным для всех микроскопов LVEM 25, он обеспечивает получение живых изображений и их оцифровку с высокой частотой кадров за счет использования высокочувствительной и малошумящей камеры CMOS 5,5 мегапикселей для визуализации тонких срезов.
|
Режим ПРЭМ
|

Мышечная ткань, 100 нм
|
|
Дополнительные режимы ПРЭМ 10 и 15 кВ позволяют получать изображения даже при более низких ускоряющих напряжениях, обеспечивая постепенно более высокие уровни контраста, а также позволяя работать с более толстыми образцами.
|
Режим ЭД
|

Поликристаллы алюминия
|
Режим электронной дифракции включается в состав каждой системы, позволяющей определять структурные характеристики кристаллических материалов.
|
Применение в материаловедении
LVEM 25 быстрый, компактный и мощный. Для материаловедов он является инструментом, который дает быстрые и значимые Nрезультаты, занимая при этом очень мало места в лаборатории. LVEM 25 имеет более высокое рабочее напряжение, чем LVEM 5, что обеспечивает большее проникновение луча и лучшую визуализацию внутренних структур различных типов образцов.
Для дальнейшего облегчения визуализации LVEM 25 содержит такие функции, как автоматическая грубая фокусировка, точные движения предметного столика и запись положения, что обеспечивает сочетание функциональности с удобством использования.
Наночастицы
|

Металлический органич. каркас, 50 нм
|
|
Позволяет анализировать формы, структуры и распределения по размерам различных типов наночастиц, состоящих из серебра, золота или полимеров, быстро, с контрастностью и четкостью.
|
Полимеры
|

Резина в виде тонких секций, 200 нм
|
|
Даёт возможность понимания морфологии и выявления дефектов кристаллической структуры полимерных материалов с очень подробными и контрастными результатами.
|
|
Нанотрубки
|

Углеродные нанотрубки, 50 нм
|
Позволяет проверять качество и чистоту материалов нанотрубок. Результаты высококонтрастного изображения демонстрируют особенности образца в подробной форме.
|
Применение в биологии и изучении патологий
LVEM 25 - идеальный инструмент для получения изображений в области биологических исследований.
Он обеспечивает получение высококонтрастных изображений образцов с высокой степенью детализации, причём это относится и к образцам, получение контрастного изображения которых часто затруднено, поддерживает возможность визуализации образцов, приготовленных традиционным способом, без какой-либо адаптации к протоколам подготовки образцов, а также он обладает уникальной способностью отображать окрашенные и неокрашенные образцы с одинаковым уровнем ожидаемых результатов.
Благодаря дополнительным преимуществам из-за своей компактности и простоты использования LVEM 25 уже вносит свой вклад в области изучения патологий, вирусологии и доставки лекарств.
Вирусы
|

Аденовирус, 200 нм
|
|
Позволяет быстро обнаруживать и подробно изучать такие вирусы, как ротавирус, аденовирус и вирус герпеса.
|
|
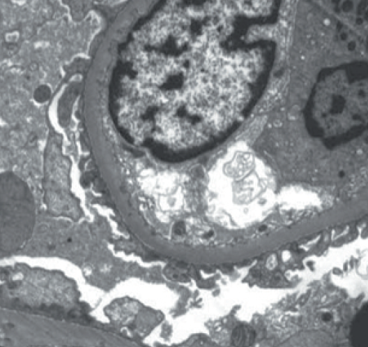
Тонкие срезы почки
|

Тонкий срез почки, 1 мкм
|
|
Изображение тонких срезов почечной ткани для уверенного определения иммунного комплекса гломерулонефрита, амилоидоза почек и болезни плотных отложений.
|
|
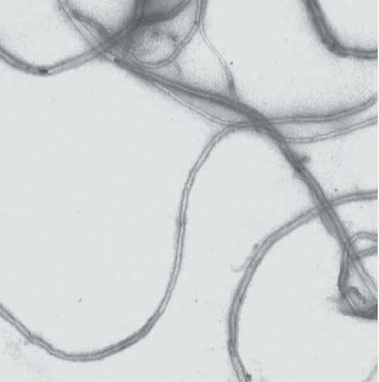
Тонкие срезы нерва
|

Тонкий срез нерва, 50 нм
|
Даёт возможность чёткого наблюдения за немиелинизированными волокнами, коллагеновыми карманами и амилоидными отложениями.
|